We are open and accepting new patients. Call for your appointment today!
St. Joseph: 816-232-9790 • Troy: 785-985-2555
We are open and accepting new patients. Call for your appointment today!
St. Joseph: 816-232-9790 • Troy: 785-985-2555
General dentistry works to prevent, evaluate, diagnose, and treat diseases of your mouth, as well as maintain the function and appearance of the teeth. Many oral diseases and abnormalities can indicate other diseases.
Services include:

Patient had decay around existing silver fillings and decided to have them replaced with white composite fillings.

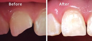
Patient was involved in an accident resulting in the fracture of their front tooth. The tooth was restored with a white composite filling.

Patient had sensitive and 'gray' colored teeth from thinning enamel through years of grinding and acid reflux. The teeth were restored with white composite veneers without having to remove any existing tooth structure.

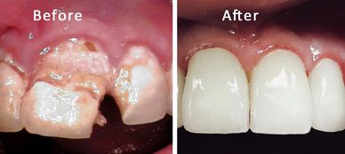
Patient had severe decay of their front teeth which were restored with zirconia crowns.

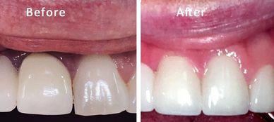
Patient was unhappy with the color and shape of their natural teeth as well as an old bridge. An esthetic smile was created using porcelain crowns and bridge work.

Patient was unhappy with how the crowding of their lower teeth looked but didnt want to go through months or years of braces or the expense of porcelain crowns. A significant improvement to the patient's smile was created by reshaping the existing teeth through light sanding.
Copyright © 2018 – 2024, Dr Mark B Beard, DDS - All Rights Reserved.